Case of the Week #632

Vladimir Lemaire, Ashley Zink
UT Southwestern Medical Center, Plano, Texas, United States of America

Posting Dates: Jul 15, 2025 - Jul 30, 2025

A 39-year-old patient, G1P0, presented to our maternal fetal medicine unit at 30 weeks of gestation for a growth scan. The fetus was male with low-risk noninvasive prenatal testing. The following findings were observed.

Image 1
Image 2
Image 3
Image 4
Image 5
Image 6

View the Answer Hide the Answer

Answer

We present an isolated case of Tetralogy of Fallot (TOF). The diagnosis was confirmed by pediatric cardiology.

Our images demonstrate the following:

  • Image 1: Transverse view of the upper abdomen at the level of the abdominal circumference.
  • Image 2: Axial plane of the fetal chest at the level of the four-chamber view. Note the normal appearance of the four-chamber view.
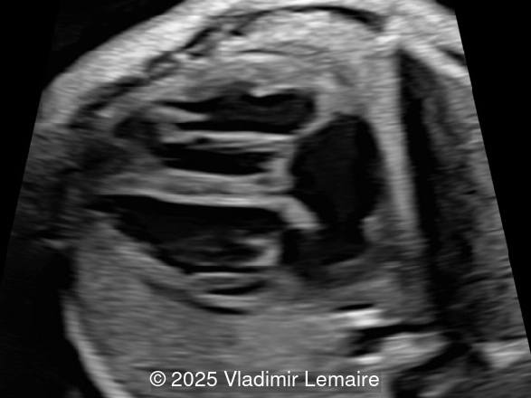
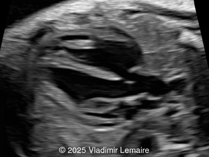
  • Images 3 and 4: The five-chamber view shows the ventricular septal defect and the dilated overriding aorta.
  • Image 5: The right ventricular outflow tract view with color Doppler demonstrates a small main pulmonary artery when compared to the dilated aorta due to pulmonary stenosis.
  • Image 6: The three-vessel-trachea view with color Doppler shows the discrepant size of the great arteries with the pulmonary artery smaller than the aorta. Note the presence of antegrade blood flow in both arteries.

In the images below, the following abbreviations are used: RV (right ventricle); LV (left ventricle); Ao (Aorta), VSD (ventricular septal defect), Ao V (Aortic valve); PA (pulmonary artery)

3D spatiotemporal image correlation (STIC) ultrasound volume at the level of the five-chamber view. Note the presence of a VSD and a dilated aorta.
Image 1 3D spatiotemporal image correlation (STIC) ultrasound volume at the level of the five-chamber view. Note the presence of a VSD and a dilated aorta.
3D spatiotemporal image correlation (STIC) ultrasound volume at the level of the five-chamber view.
Image 2 3D spatiotemporal image correlation (STIC) ultrasound volume at the level of the five-chamber view.
3D spatiotemporal image correlation (STIC) ultrasound volume displayed in glass-body mode at the level of the three-vessel-trachea view. Note the small size of the pulmonary artery as compared to the aorta with antegrade flow.
Image 3 3D spatiotemporal image correlation (STIC) ultrasound volume displayed in glass-body mode at the level of the three-vessel-trachea view. Note the small size of the pulmonary artery as compared to the aorta with antegrade flow.
STIC of the three-vessel-trachea view with color Doppler coupled with volume contrast imaging (VCI-A).
Image 4 STIC of the three-vessel-trachea view with color Doppler coupled with volume contrast imaging (VCI-A).
STIC of the transverse aortic arch view with color Doppler coupled with volume contrast imaging (VCI-A). Note the presence of the dilated aorta.
Image 5 STIC of the transverse aortic arch view with color Doppler coupled with volume contrast imaging (VCI-A). Note the presence of the dilated aorta.

Discussion

Tetralogy of Fallot (TOF) is characterized by a malaligned ventricular septal defect (VSD), an aortic root that overrides the ventricular septal defect, and an infundibular pulmonary stenosis. Right ventricular hypertrophy, the fourth anatomic feature of the tetralogy, is not present prenatally. Tetralogy of Fallot, one of the most common forms of cyanotic congenital heart disease, is found in about 1 in 3,600 live births and accounts for 3 to 7% of infants with congenital heart disease. There are several variations of Tetralogy of Fallot, the most common of which is with pulmonary stenosis and accounts for about 80% of all newborns with the condition. The spectrum of disease also includes severe forms such as TOF with pulmonary atresia and TOF with absent pulmonary valve.

In Tetralogy of Fallot, the four-chamber view typically appears normal unless a large ventricular septal defect is visible in this plane. TOF is usually detected in the left ventricular outflow tract view, which demonstrates a perimembranous, subaortic ventricular septal defect with an overriding aorta. The overriding aorta is due to the discontinuity between the interventricular septum and medial wall of the aorta (malalignment VSD). This results in a partial connection of the aorta to the right ventricle, with an aorta that is slightly shifted to the right, referred to as aortic dextroposition. The aortic root appears dilated, especially in the third trimester, because it receives blood from both the right and left ventricles. The overriding aorta has a parallel course to the interventricular septum in contrast to the ascending aorta in a normal heart.

The demonstration of a narrow but patent main pulmonary artery is also required for the diagnosis of Tetralogy of Fallot. This is best demonstrated at the level of the short-axis or the three-vessel view. The discrepancy between the pulmonary trunk and the aorta can be subtle in midgestation, however it becomes more obvious with advancing gestation.

Color Doppler confirms the presence of an overriding aorta with blood draining from both ventricles, through the ventricular septal defect into the aortic root. Due to high perfusion, inflow into the aorta appears aliased. At the level of the three-vessel-trachea view, color Doppler can also demonstrate a small pulmonary artery. Flow is antegrade across the ductus arteriosus in mild Tetralogy of Fallot and can be reversed in severe cases. Color Doppler can help differentiate various subgroups of TOF as postnatal ductal dependency of the pulmonary circulation can be associated with cyanosis of the newborn.

On prenatal ultrasound, associated cardiac abnormalities include a right aortic arch in 25% of cases and occasionally an atrioventricular septal defect which increases the risk of chromosomal abnormalities. A patent foramen ovale or an atrial septal defect and a persistent left superior vena cava have been reported in 83% and 11%, respectively, of newborns with Tetralogy of Fallot.

Associated extracardiac anomalies are common. Chromosomal abnormalities, mainly trisomies 21, 13 and 18, are found in 30% of cases. Deletion 22q11.2 occurs in 10 to 15% of fetuses and newborns with Tetralogy of Fallot, and is more likely in cases with a hypoplastic thymus, right-sided aortic arch, presence of extracardiac anomalies, or polyhydramnios. TOF can also be associated with syndromic conditions such as Alagille syndrome and CHARGE syndrome.

Differential diagnosis includes pulmonary atresia with ventricular septal defect, absent pulmonary valve syndrome, common arterial trunk, double outlet right ventricle, and malaligned VSD without abnormalities of the great vessels. All of these conditions present with an overriding aorta.

Pulmonary artery growth has been shown to be variable and unpredictable. Therefore, serial prenatal ultrasound examinations to assess fetal pulmonary artery growth and flow across the ductus arteriosus are crucial for counseling and appropriate care of the newborn. Findings that have been associated with poor prognosis include decelerated growth of the pulmonary artery, accelerated growth of the ascending aorta and cessation of forward flow through the pulmonic valve with reversed flow through the ductus arteriosus. Pulmonary atresia with ventricular septal defect and absent pulmonary valve syndrome are known to have a worse prognosis.

References

Abuhamad, A, et al. "Tetralogy of Fallot". A Practical Guide to Fetal Echocardiography: Normal and Abnormal Hearts (4th edition). Singapore: Wolters Kluwer, 2022. pgs 410-425.

Discussion Board

Start a discussion about this case

Winners

Dianna Heidinger Profile Pic

Dianna Heidinger United States Sonographer

Javier Cortejoso Profile Pic

Javier Cortejoso Spain Physician

paola quaresima Profile Pic

paola quaresima Italy Physician

Andrii Averianov Profile Pic

Andrii Averianov Ukraine Physician

Alexandr Krasnov Profile Pic

Alexandr Krasnov Ukraine Physician

Andres Arencibia Profile Pic

Andres Arencibia United States Physician

Mayank Chowdhury Profile Pic

Mayank Chowdhury India Physician

Olha Petrenko Profile Pic

Olha Petrenko Ukraine Physician

Adrian Popa Profile Pic

Adrian Popa Romania Physician

Nutan Thakur Profile Pic

Nutan Thakur India Physician

Shilpen Gondalia Profile Pic

Shilpen Gondalia India Physician

Boujemaa Oueslati Profile Pic

Boujemaa Oueslati Tunisia Physician

Tatiana Koipish Profile Pic

Tatiana Koipish Belarus Physician

carlos lopez Profile Pic

carlos lopez Venezuela Physician

Aysegul Ozel Profile Pic

Aysegul Ozel Turkey Physician

Caroline Reichert Garcia Profile Pic

Caroline Reichert Garcia Brazil Physician

Alvaro Gómez Profile Pic

Alvaro Gómez Mexico Physician

Anita Silber Profile Pic

Anita Silber Israel Physician

Viorel Suciu-Lazar Profile Pic

Viorel Suciu-Lazar United States

Kimberly Delaney Profile Pic

Kimberly Delaney United States Sonographer

Marianovella Narcisi Profile Pic

Marianovella Narcisi Italy Physician

Javier Ayala Profile Pic

Javier Ayala Spain Physician

Rebecca Evans Profile Pic

Rebecca Evans Australia Sonographer

CHEN YANG Profile Pic

CHEN YANG China Sonographer

Amparo Gimeno Profile Pic

Amparo Gimeno Spain Physician

Elena Andreeva Profile Pic

Elena Andreeva Russian Federation Physician

Patrícia Silva Profile Pic

Patrícia Silva Portugal Physician

Basem Hamed Profile Pic

Basem Hamed United States

Muradiye YILDIRIM Profile Pic

Muradiye YILDIRIM Turkey Physician

Ta Son Vo Profile Pic

Ta Son Vo Viet Nam Physician

ALBANA CEREKJA Profile Pic

ALBANA CEREKJA Italy Physician

Eti Zetounie Profile Pic

Eti Zetounie Israel Sonographer

SAMUEL GELVEZ TELLEZ Profile Pic

SAMUEL GELVEZ TELLEZ Colombia Physician

Murat Cagan Profile Pic

Murat Cagan Turkey Physician

Umutcan KAYIKÇI Profile Pic

Umutcan KAYIKÇI Turkey Physician

ANA PAULA PASSOS Profile Pic

ANA PAULA PASSOS Brazil Physician

Büşra Cambaztepe Profile Pic

Büşra Cambaztepe Turkey Physician

Gayane Begjanyan Profile Pic

Gayane Begjanyan Armenia Physician

Ionut Valcea Profile Pic

Ionut Valcea Romania Physician

Đặng Mai Quỳnh Profile Pic

Đặng Mai Quỳnh Viet Nam Physician

Halil Korkut Dağlar Profile Pic

Halil Korkut Dağlar United States Physician

Hien Nguyen Van Profile Pic

Hien Nguyen Van Viet Nam Physician

Almaz Kinzyabulatov Profile Pic

Almaz Kinzyabulatov Russian Federation Physician

Kareem Haloub Profile Pic

Kareem Haloub Australia Physician

Zuzana Briešková Profile Pic

Zuzana Briešková Slovakia Physician

Katarína Pitoňáková Profile Pic

Katarína Pitoňáková Czech Republic Physician

András Weidner Profile Pic

András Weidner Hungary Physician

Maria Kuznetsova Profile Pic

Maria Kuznetsova Russian Federation Physician

Thomson Thomson Profile Pic

Thomson Thomson Indonesia OB-GYN

Fred Pop Profile Pic

Fred Pop Uganda Sonographer

Annette Reuss Profile Pic

Annette Reuss Germany Physician

Arati Appinabhavi Profile Pic

Arati Appinabhavi India Physician

shruti Agarwal Profile Pic

shruti Agarwal India Physician

Jay Vaishnav Profile Pic

Jay Vaishnav India Physician

CHERYL TURNER Profile Pic

CHERYL TURNER United States Sonographer

YULIA VISHNEVSKAYA Profile Pic

YULIA VISHNEVSKAYA Russian Federation Physician

Hayley Jacobson Profile Pic

Hayley Jacobson Israel Physician

Nguyen Xuan Cong Profile Pic

Nguyen Xuan Cong Viet Nam Physician

Perrine Riou-Kerangal Profile Pic

Perrine Riou-Kerangal French Polynesia Sage-femme échographiste

Lynn Davis Profile Pic

Lynn Davis United States Sonographer

Sruthi Pydi Profile Pic

Sruthi Pydi India Physician

Laura Wharton Profile Pic

Laura Wharton United Kingdom Physician

Apoorva Mannikar Profile Pic

Apoorva Mannikar India Physician

Rohit Sanghani Profile Pic

Rohit Sanghani India Physician

Rupal Sasani Profile Pic

Rupal Sasani India Physician

philip pattyn Profile Pic

philip pattyn Belgium Physician

Joanna Głowska-Ciemny Profile Pic

Joanna Głowska-Ciemny Poland Physician

Duc Giang Profile Pic

Duc Giang Viet Nam Physician

Petra Barboríková Profile Pic

Petra Barboríková Slovakia Physician

Dolly Agrawal Profile Pic

Dolly Agrawal India Physician

Rajnikant Vasava Profile Pic

Rajnikant Vasava India Physician

Denys Saitarly Profile Pic

Denys Saitarly Israel Physician

Le Tien Dung Profile Pic

Le Tien Dung Viet Nam Physician

Tetiana Ishchenko Profile Pic

Tetiana Ishchenko Ukraine Physician

Costin Radu Lucian Profile Pic

Costin Radu Lucian Romania Physician

Julia Knypinski Profile Pic

Julia Knypinski United States Physician

Zina Kerbi Profile Pic

Zina Kerbi Algeria Physician

Molly Brown Profile Pic

Molly Brown United States Sonographer

María Victoria Peral Parrado Profile Pic

María Victoria Peral Parrado Spain Physician

Le Duc Profile Pic

Le Duc Viet Nam Physician

Janaina Andrade Profile Pic

Janaina Andrade Brazil Physician

Mahesh Kilje Profile Pic

Mahesh Kilje India Physician

Hana Habanova Profile Pic

Hana Habanova Slovakia Physician

Kelsey O'Brien Profile Pic

Kelsey O'Brien United States Sonographer

Tushar verma Profile Pic

Tushar verma India Physician

Jesus Cortez Profile Pic

Jesus Cortez Venezuela Physician

Gnanasekar Periyasamy Profile Pic

Gnanasekar Periyasamy India Physician

Molly Paulson Profile Pic

Molly Paulson United States Sonographer

Maureen Cosentino Profile Pic

Maureen Cosentino United States Sonographer

Navya Sri Mopada Profile Pic

Navya Sri Mopada India Physician

Rinku Vasaya Profile Pic

Rinku Vasaya Congo, The Democratic Republic of The Sonographer

Petra Tallova Profile Pic

Petra Tallova Slovakia Physician

José Velasco Profile Pic

José Velasco Ecuador Physician

Tal Lesser Profile Pic

Tal Lesser United States Physician

Diogo Santos Profile Pic

Diogo Santos Portugal Physician

Valerie Finkelstein Profile Pic

Valerie Finkelstein United States Sonographer

Kurmanzhan Balmukhambetova Profile Pic

Kurmanzhan Balmukhambetova Kazakhstan Physician

Ali Ozgur Ersoy Profile Pic

Ali Ozgur Ersoy Turkey Physician

Ayse Ceren Duymus Profile Pic

Ayse Ceren Duymus Turkey Physician

Lucia Bobik Profile Pic

Lucia Bobik Slovakia Physician

Karla Eutsler Profile Pic

Karla Eutsler United States Sonographer

Manuel Rodriguez Profile Pic

Manuel Rodriguez Mexico Physician

ZHANNA Kurmangaliyeva Profile Pic

ZHANNA Kurmangaliyeva Kazakhstan Physician

Liam McCullough Profile Pic

Liam McCullough Slovakia Physician

Dubyanskaya Yuliya Profile Pic

Dubyanskaya Yuliya Russian Federation Physician

Albert Guarque Rus Profile Pic

Albert Guarque Rus Spain Physician

KIM SOCHETRA Profile Pic

KIM SOCHETRA Cambodia Physician

Henrietta Karlsson Profile Pic

Henrietta Karlsson Spain Physician

P K Profile Pic

P K Indonesia Physician

Dang Thinh Nguyen Profile Pic

Dang Thinh Nguyen Viet Nam Physician

Jose Carcamo Profile Pic

Jose Carcamo Honduras Physician

Kristina Gonosova Profile Pic

Kristina Gonosova Slovakia Sonographer

Khanh Dinh Le Tran Profile Pic

Khanh Dinh Le Tran Viet Nam Physician

jimena salcedo Profile Pic

jimena salcedo Spain Physician

Kim Wong Profile Pic

Kim Wong Mexico Physician

Ramz Rafiq Profile Pic

Ramz Rafiq Australia Sonographer

Neelesh Patel Profile Pic

Neelesh Patel India Physician

Add to Favorites Favorite

Menu