Case of the Week #627

Frantisek Grochal (1); Javier Cortejoso (2)
(1) Femicare, Center of prenatal ultrasonographic diagnostics, Martin, Slovakia; (2) Centro Médico Recoletas, Valladolid, Spain

Posting Dates: Apr 30, 2025 - May 14, 2025

A 30-year-old G2P1, with an unremarkable history, presented to our office in the 21st week of her pregnancy for a routine second-trimester screening. Our examination revealed the following findings:

Image 1
Video 1 © 2025 Grochal
Image 2
Video 2 © 2025 Grochal
Video 3 © 2025 Grochal
Image 3

View the Answer Hide the Answer

Answer

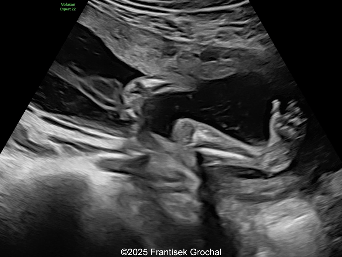
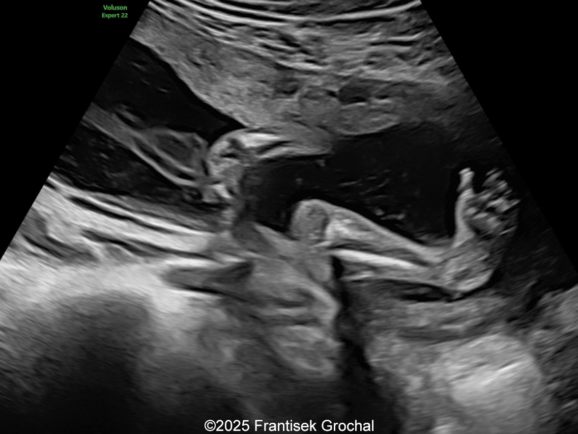
We present a case of Amniotic Band Sequence seen in 21st week of pregnancy. The fetus showed the following findings:

  • Bilateral club feet
  • Constriction of the right thigh by the amniotic band
  • Constriction of fetal torso by two strips of amniotic band

The mother was sent to a specialized perinatology center for a planned minimally invasive amniotic band resection. Unfortunately, one week later, just before the procedure, spontaneous demise of the fetus occurred. Amniotic band sequence was confirmed.

Constriction of fetal torso by two stripes of the amniotic bands
Image 1 Constriction of fetal torso by two stripes of the amniotic bands
Constriction of the right thigh by the amniotic band
Image 2 Constriction of the right thigh by the amniotic band
Constriction of fetal torso by two stripes of the amniotic bands
Image 3 Constriction of fetal torso by two stripes of the amniotic bands
Club foot
Image 4 Club foot

Discussion

Amniotic band sequence refers to a broad group of highly variable fetal malformations that are associated with fibrous bands entangling or entrapping various fetal parts in utero [1]. The most accepted pathogenic theory is the extrinsic one, in which the early partial rupture of the amniotic sac leads to the formation of fibrous bands that float in the amniotic fluid and can encircle fetal parts [2]. Due to the difficulties in diagnosing this pathology with certainty, the reported incidence varies widely, ranging from 1 in 1200 to 1 in 15,000 livebirths, and 1.8% of previable stillbirth fetuses [3, 4].

Prenatal ultrasound imaging shows thin echogenic bands attaching to both the uterine wall and associated fetal structures. The bands themselves can be difficult to detect, hence the visualization of bands is not required to suggest the diagnosis. Random anomalies that do not follow a pattern should lead the clinician to suspect amniotic band sequence and prompt close evaluation for a causative band [5, 6]. The defects resulting from the bands are categorized into various categories: neural tube-like defects, craniofacial anomalies, limb anomalies, abdominal and thoracic wall defects, and visceral anomalies [7, 8]. The most common findings are those caused by constriction rings in the limbs, which are present in at least 80% of cases. They may vary in depth, involving only the skin, to involving bone and causing edema of the distal limb, extremity asymmetry, pseudosyndactyly, or amputation of limbs or digits [8]. Histologically, constriction bands are composed of fibrous tissue containing fibroblasts covered by squamous cells, which may make them inelastic and produce a ligature effect [9]. Clubfoot deformity of the lower extremity is found in up to one third of cases, probably secondary to the presence of oligohydramnios if there is loss of amniotic fluid [6].

Cases of amniotic band sequence manifesting as constriction rings in the trunk (thorax, abdomen, or pelvis) are exceedingly rare. They were first described as abdominal constriction syndrome by Browne in 1957 [9]. The consensus is that the cause of this finding is the presence of amniotic bands, although Lin et al [10] described a case they attribute to compression by the umbilical cord. To the best of our knowledge, constriction rings in the trunk have only been described prenatally on two occasions [11,12]. The diagnosis is usually made in the newborn after birth, although most of the published cases are patients treated during childhood. To unify terminology, Graham et al [11] propose defining thoracic constriction bands as those located between the clavicles and transpyloric plane, which passes through the vertebral body of L1. Abdominal constriction bands are located between the transpyloric and intertubercular planes (through the body of L5 and iliac tubercles), and pelvic constriction bands between the intertubercular plane and ischial tuberosities. As in the extremities, these bands occur at various depths, most commonly only to the fascial layer, but they can extend down to the external or internal oblique muscles [6]. Despite the “hourglass” appearance, abdominal bands do not seem to cause mechanical problems. In mild cases the ring may become less noticeable as the child grows, therefore most authors wait until the child is about a year of age before performing surgical correction [6]. This is typically performed with excision of fibrotic tissue and Z- or W-plasties to improve appearance and to allow expansion of abdominal contents [13, 14]. Prenatally, in cases where blood flow to the cord or a limb is compromised by amniotic bands, fetal surgery may be possible. The traditional open hysterotomy approach has been progressively replaced by fetoscopic methods, which reduce complications and the need to perform a cesarean section at the time of delivery. Prenatal treatment reduces scarring compared to procedures performed after birth, due to improved dermal remodeling in the maternal uterine environment [15, 16].

Differential diagnosis includes other conditions that produce intrauterine linear echogenicities in the gravid uterus: uterine synechiae with amniotic sheets, uterine duplication anomalies, chorioamniotic nonfusion or separation, and circumvallate placenta [17]. Unlike amniotic bands, synechiae may have blood flow detected with Doppler, do not restrict fetal movements and are not associated with fetal abnormalities.

References

[1] Seeds JW, Cefalo RC, Herbert WN. Amniotic band syndrome. Am J Obstet Gynecol. 1982 Oct 1;144(3):243-8.
[2]  Torpin R. Amniochorionic mesoblastic fibrous rings and amniotic bands: associated constricting fetal malformations or fetal death. Am J Obstet Gynecol. 1965 Jan 1;91:65-75.
[3] Garza A, Cordero JF, Mulinare J. Epidemiology of the early amnion rupture spectrum of defects. Am J Dis Child. 1988 May;142(5):541-4.
[4] Kalousek DK, Bamforth S. Amnion rupture sequence in previable fetuses. Am J Med Genet. 1988 Sep;31(1):63-73.
[5] Society for Maternal-Fetal Medicine; Gandhi M, Rac MWF, McKinney J. Amniotic Band Sequence. Am J Obstet Gynecol. 2019 Dec;221(6):B5-B6.
[6]  Inglesby DC, Janssen PL, Graziano FD, Gopman JM, Rutland JW, Taub PJ. Amniotic Band Syndrome: Head-to-Toe Manifestations and Clinical Management Guidelines. Plast Reconstr Surg. 2023 Aug 1;152(2):338e-346e.
[7] Iqbal CW, Derderian SC, Cheng Y, Lee H, Hirose S. Amniotic band syndrome: a single-institutional experience. Fetal Diagn Ther. 2015;37(1):1-5.
[8]  Kim JB, Berry MG, Watson JS. Abdominal constriction band: A rare location for amniotic band syndrome. J Plast Reconstr Aesthet Surg. 2007;60(11):1241-3.
[9]  Gargh K, Sullivan C, Laing H, Banerjee S. Congenital circumferential constriction band of the abdomen: a case report. Case Rep Med. 2009;2009:825174.
[10]  Lin AE, Genest DR, Brown DL. Circumferential abdominal skin defect possibly due to umbilical cord encirclement. Teratology. 1999 Nov;60(5):258-9.
[11]  Graham E, Garlick JW, Johns D. Congenital Amniotic Constriction Band of the Pelvis: First Reported Case and Proposed Classification Criterion. Plast Reconstr Surg Glob Open. 2019 Jul 25;7(7):e2336.
[12]  Nassr AA, Shamshirsaz AA, Belfort MA. Circumferential amniotic band around the lower fetal abdomen associated with complete spontaneous chorioamniotic separation. Am J Obstet Gynecol. 2021 Mar;224(3):312-313.
[13]  Siemers F, Wünsch L, Namdar T, von Wild T, Mailänder P. Complete circumferential congenital constriction of the trunk - operation procedures and results. Ger Med Sci. 2011;9:Doc17.
[14]  Ciloglu NS, Gumus N. A rare form of congenital amniotic band syndrome: total circular abdominal constriction band. Arch Plast Surg. 2014 May;41(3):290-1.
[15]  Gimenez A, Kopkin R, Chang DK, Belfort M, Reece EM. Advances in Fetal Surgery: Current and Future Relevance in Plastic Surgery. Semin Plast Surg. 2019 Aug;33(3):204-212.
[16]  Minella C, Costantino B, Ruano R, Koch A, Weingertner AS, Favre R, Sananes N. Fetoscopic Release of Amniotic Band Syndrome: An Update. J Ultrasound Med. 2021 May;40(5):1039-1048.
[17]   Jensen KK, Oh KY, Kennedy AM, Sohaey R. Intrauterine Linear Echogenicities in the Gravid Uterus: What Radiologists Should Know. Radiographics. 2018 Mar-Apr;38(2):642-657.

Discussion Board

Start a discussion about this case

Winners

Dianna Heidinger Profile Pic

Dianna Heidinger United States Sonographer

Javier Cortejoso Profile Pic

Javier Cortejoso Spain Physician

Pawel Swietlicki Profile Pic

Pawel Swietlicki Poland Physician

Chursina Olga Profile Pic

Chursina Olga Russian Federation Physician

Andrii Averianov Profile Pic

Andrii Averianov Ukraine Physician

Ana Ferrero Profile Pic

Ana Ferrero Spain Physician

Alexandr Krasnov Profile Pic

Alexandr Krasnov Ukraine Physician

Mayank Chowdhury Profile Pic

Mayank Chowdhury India Physician

Nutan Thakur Profile Pic

Nutan Thakur India Physician

Vladimir Lemaire Profile Pic

Vladimir Lemaire United States Physician

Ivan Ivanov Profile Pic

Ivan Ivanov Russian Federation Physician

Boujemaa Oueslati Profile Pic

Boujemaa Oueslati Tunisia Physician

Tatiana Koipish Profile Pic

Tatiana Koipish Belarus Physician

carlos lopez Profile Pic

carlos lopez Venezuela Physician

Aysegul Ozel Profile Pic

Aysegul Ozel Turkey Physician

PRIYA R Profile Pic

PRIYA R United States Physician

Oleg Vinogradov Profile Pic

Oleg Vinogradov Russian Federation Physician

Kimberly Delaney Profile Pic

Kimberly Delaney United States Sonographer

Marianovella Narcisi Profile Pic

Marianovella Narcisi Italy Physician

CHEN YANG Profile Pic

CHEN YANG China Sonographer

Shari Morgan Profile Pic

Shari Morgan United States Sonographer

Amparo Gimeno Profile Pic

Amparo Gimeno Spain Physician

Elena Andreeva Profile Pic

Elena Andreeva Russian Federation Physician

ALBANA CEREKJA Profile Pic

ALBANA CEREKJA Italy Physician

Deval Shah Profile Pic

Deval Shah India Physician

Murat Cagan Profile Pic

Murat Cagan Turkey Physician

Priscilla Demaray Profile Pic

Priscilla Demaray United States Sonographer

Büşra Cambaztepe Profile Pic

Büşra Cambaztepe Turkey Physician

gholamreza azizi Profile Pic

gholamreza azizi Iran, Islamic Republic of Physician

Ionut Valcea Profile Pic

Ionut Valcea Romania Physician

Sviatlana Akhramovich Profile Pic

Sviatlana Akhramovich Belarus Physician

Đặng Mai Quỳnh Profile Pic

Đặng Mai Quỳnh Viet Nam Physician

Elham Eghbali Profile Pic

Elham Eghbali Iran, Islamic Republic of Radiologist

Hien Nguyen Van Profile Pic

Hien Nguyen Van Viet Nam Physician

Almaz Kinzyabulatov Profile Pic

Almaz Kinzyabulatov Russian Federation Physician

Zuzana Briešková Profile Pic

Zuzana Briešková Slovakia Physician

Ann-Christin Dr. Sönnichsen Profile Pic

Ann-Christin Dr. Sönnichsen Germany Physician

Thomson Thomson Profile Pic

Thomson Thomson Indonesia OB-GYN

Fred Pop Profile Pic

Fred Pop Uganda Sonographer

Annette Reuss Profile Pic

Annette Reuss Germany Physician

Daniel Villamizar Hernandez Profile Pic

Daniel Villamizar Hernandez Peru Physician

shruti Agarwal Profile Pic

shruti Agarwal India Physician

CHERYL TURNER Profile Pic

CHERYL TURNER United States Sonographer

Nguyen Xuan Cong Profile Pic

Nguyen Xuan Cong Viet Nam Physician

shay kevorkian Profile Pic

shay kevorkian Israel Physician

Mary Jones Profile Pic

Mary Jones United States Sonographer

Sruthi Pydi Profile Pic

Sruthi Pydi India Physician

Duc Giang Profile Pic

Duc Giang Viet Nam Physician

Dolly Agrawal Profile Pic

Dolly Agrawal India Physician

Denys Saitarly Profile Pic

Denys Saitarly Israel Physician

Le Tien Dung Profile Pic

Le Tien Dung Viet Nam Physician

Tetiana Ishchenko Profile Pic

Tetiana Ishchenko Ukraine Physician

Costin Radu Lucian Profile Pic

Costin Radu Lucian Romania Physician

Theodosios Argyroudis Profile Pic

Theodosios Argyroudis Greece Physician

Seval Yılmaz Ergani Profile Pic

Seval Yılmaz Ergani Turkey Physician

María Victoria Peral Parrado Profile Pic

María Victoria Peral Parrado Spain Physician

Le Duc Profile Pic

Le Duc Viet Nam Physician

Petra Zembjakova Profile Pic

Petra Zembjakova Slovakia Physician

Hana Habanova Profile Pic

Hana Habanova Slovakia Physician

Anjali Gupta Profile Pic

Anjali Gupta India Physician

Joanne Maloney Profile Pic

Joanne Maloney United States Sonographer

Syeda Amna Mehmood Profile Pic

Syeda Amna Mehmood United Arab Emirates Physician

Gnanasekar Periyasamy Profile Pic

Gnanasekar Periyasamy India Physician

Jagdish Suthar Profile Pic

Jagdish Suthar India Physician

DR RAJESH KAMBLE Profile Pic

DR RAJESH KAMBLE India Physician

Severina Gesheva Profile Pic

Severina Gesheva United States Sonographer

CARLOS JOSE PIÑA VILLEGAS Profile Pic

CARLOS JOSE PIÑA VILLEGAS Peru MEDICO MATERNO FETAL

ASHLEA HARDIN Profile Pic

ASHLEA HARDIN United States Sonographer

wang jiajia Profile Pic

wang jiajia China Physician

Ali Ozgur Ersoy Profile Pic

Ali Ozgur Ersoy Turkey Physician

Ayse Ceren Duymus Profile Pic

Ayse Ceren Duymus Turkey Physician

Manuel Rodriguez Profile Pic

Manuel Rodriguez Mexico Physician

ZHANNA Kurmangaliyeva Profile Pic

ZHANNA Kurmangaliyeva Kazakhstan Physician

Olga Gundareva Profile Pic

Olga Gundareva Russian Federation Physician

VINUTHA REDDY PASHAM Profile Pic

VINUTHA REDDY PASHAM India Physician

Surekha Bhimangouda Profile Pic

Surekha Bhimangouda India Physician

Homam Saker Profile Pic

Homam Saker United States Physician

huang yongjia Profile Pic

huang yongjia China Physician

yongling jiang Profile Pic

yongling jiang China Physician

Marta Florea Profile Pic

Marta Florea Poland Physician

Khaled Abdelkawy Profile Pic

Khaled Abdelkawy United States Sonographer

Madhura Bayaskar Profile Pic

Madhura Bayaskar India Physician

JAVIER MIGUELEZ Profile Pic

JAVIER MIGUELEZ Brazil Physician

Charmi Prajapati Profile Pic

Charmi Prajapati India Sonographer

Add to Favorites Favorite

Menu